자기공명영상 (Magnetic Resonance Imaging, MRI)
: 자장이 발생하는 커다란 자석통 속에 들어가게 한 후, 고주파(radio frequency pulse)를 발생시켜 인체에 보낸 후, 인체 내의 수소원자핵을 공명시켜 발생되는 신호를 컴퓨터로 계산하여 영상화하는 검사 방법.
: (a noninvasive imaging technology that produces three-dimensional detailed anatomical images. MRI scanners use a powerful magnetic field and ratio waves to produce detailed images of the inside of the body.)
- 단순 방사선 검사 (X-ray) 또는 전산화 단층촬영 (CT)와 달리 방사선 피폭이 없어 인체에 무해하고, 조직간의 대조도 및 해상도가 좋음.
(MRI does not use radiation and provides better soft tissue contrast than CT and can differentiate better between fat, water, muscle, and other soft tissue than CT.)
- 환자의 체위를 변화시키지 않고 횡단면(axial), 시상면(sagittal), 관상면(coronal)의 영상을 얻을 수 있음.
(may be taken in very many different planes without having to move the patient)

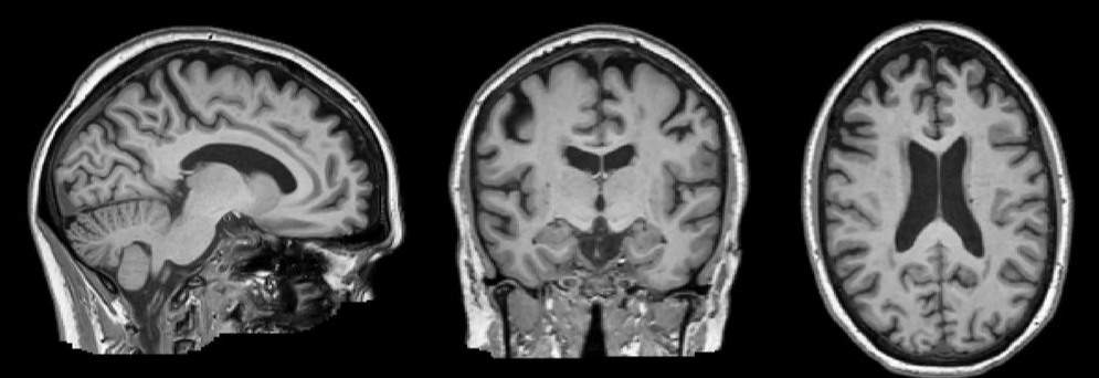
구조적 자기공명영상 (Structural magnetic resonance imaging)
: a non-invasive technique for examining the anatomy and pathology of the brain

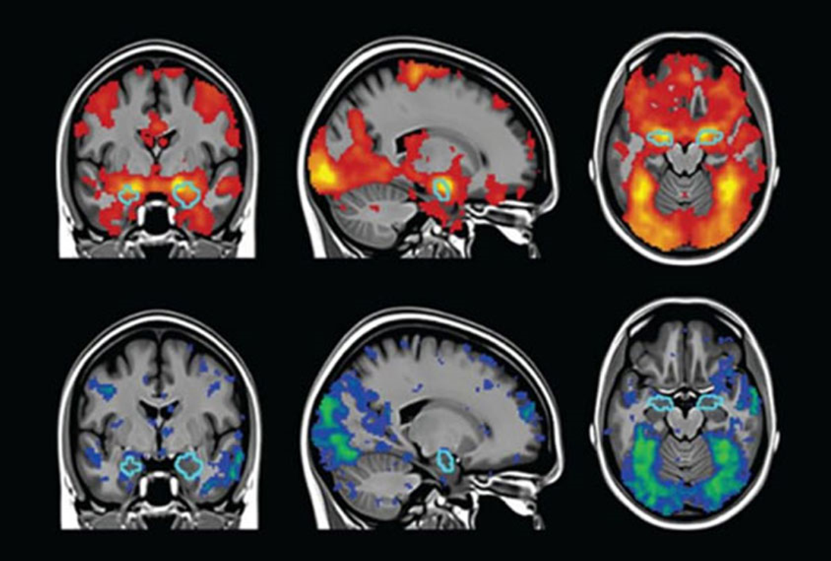
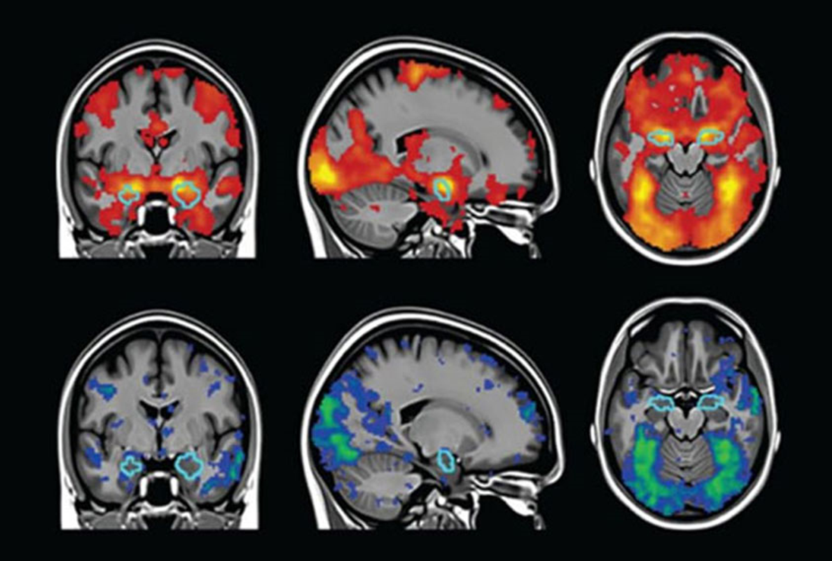
기능적 자기공명영상 (Functional magnetic resonance imaging, fMRI)
: a non-invasive technique for examining brain activity (that creates a dynamic record of metabolic activities over time)

'Main > Neuroscience' 카테고리의 다른 글
| Neurobiology of Fear #4 (0) | 2023.04.12 |
|---|---|
| Neurobiology of Fear #3 (0) | 2023.04.12 |
| Neurobiology of Fear #2 (0) | 2023.04.12 |
| Neurobiology of Fear #1 (0) | 2023.04.12 |
| DICOM to NIFTI (0) | 2023.04.12 |